Dr Daswani Dentisr

COSMETIC DENTISTRY | IMPLANTS | BRACES | CHILD DENTISTRY | GENERAL DENTISTRY

OUR WORK


Before
After

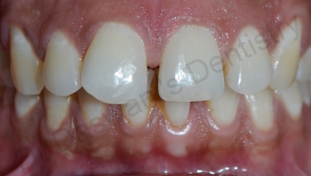
SMILE DESIGNING done to correct old poorly fitting metal ceramic crowns with life like metal free Emax crowns.

Before
After

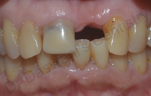
IMPLANTS used to replace lower front teeth with implant supported zirconia bridge.

Before
After

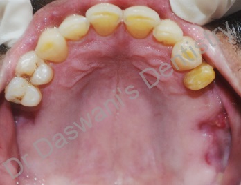
FULL MOUTH REHABILITATION done to restore completely mutilated dentition using ALL on 4 implant concept and zirconia crowns.

Before
After

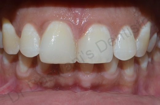
SMILE DESIGNING done to replace missing upper front teeth, mimiking nature with slight overlap of teeth using metal free Zirconia bridge.

Before
After

SPACE CLOSURE using minimally invasive composite venners.

Before
After

COSMETIC DENTISTRY to restore esthetically challenging case with Emax bridge.

Before
After

CAST PARTIAL DENTURE replacing multiple missing teeth using attachments with minimum metal display.

Before
After

OVERDENTURES to ensure you never have to worry about lose dentures again.

Dr Daswani Dentist